中文名稱:兔抗BRK1多克隆抗體
|
Background: |
HSPC300 (hematopoietic stem cell protein 300) is also known as probable protein BRICK1 or C3orf10 (chromosome 3 open reading frame 10) and is a 75 amino acid protein that is expressed as two isoforms and localizes to both the cytoplasm and the cytoskeleton. HSPC300 is thought to regulate cytoskeletal organization and Actin polymerization. Free HSPC300 exists as homotrimers prior to its incorporation into the WAVE complex. The WAVE complex includes five proteins, one of which is HSPC300, that regulate the ARC (Arp2/3 complex) which is responsible for Actin nucleation and is Rac 1-dependent. Because HSPC300 is a highly conserved subunit of the WAVE complex across many species, it is thought to have the same or similar functions in many different organisms. |
|
Applications: |
ELISA, IHC |
|
Name of antibody: |
BRK1 |
|
Immunogen: |
Synthetic peptide of human BRK1 |
|
Full name: |
BRICK1, SCAR/WAVE actin-nucleating complex subunit |
|
Synonyms: |
MDS027; hHBrk1; C3orf10; HSPC300 |
|
SwissProt: |
Q8WUW1 |
|
ELISA Recommended dilution: |
2000-5000 |
|
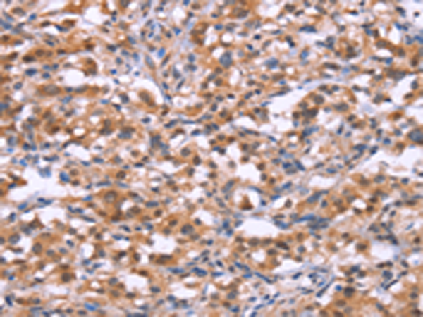
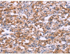
IHC positive control: |
Human thyroid cancer and Human gastric cancer |
|
IHC Recommend dilution: |
50-200 |

購(gòu)物車
幫助
021-54845833/15800441009
