中文名稱:兔抗ATRIP多克隆抗體
|
Background: |
This gene encodes an essential component of the DNA damage checkpoint. The encoded protein binds to single-stranded DNA coated with replication protein A. The protein also interacts with the ataxia telangiectasia and Rad3 related protein kinase, resulting in its accumulation at intranuclear foci induced by DNA damage. Multiple transcript variants encoding different isoforms have been found for this gene. |
|
Applications: |
ELISA, IHC |
|
Name of antibody: |
ATRIP |
|
Immunogen: |
Fusion protein of human ATRIP |
|
Full name: |
ATR interacting protein |
|
SwissProt: |
Q8WXE1 |
|
ELISA Recommended dilution: |
5000-10000 |
|
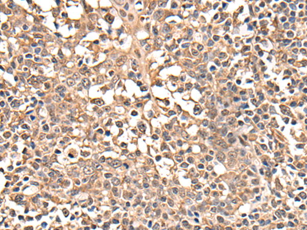
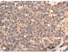
IHC positive control: |
Human thyroid cancer and human tonsil |
|
IHC Recommend dilution: |
30-150 |


購物車
幫助
021-54845833/15800441009
