|
Background: |
Involved in nucleolar processing of pre-18S ribosomal RNA. |
|
Applications: |
ELISA, WB, IHC |
|
Name of antibody: |
UTP18 |
|
Immunogen: |
Synthetic peptide of human UTP18 |
|
Full name: |
UTP18 small subunit processome component |
|
Synonyms: |
WDR50; CGI-48 |
|
SwissProt: |
Q9Y5J1 |
|
ELISA Recommended dilution: |
5000-10000 |
|
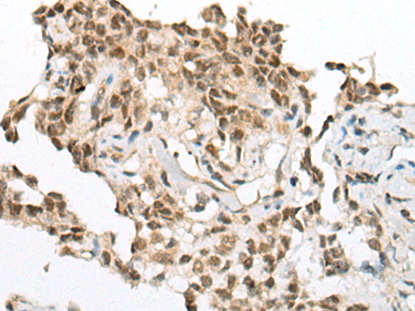
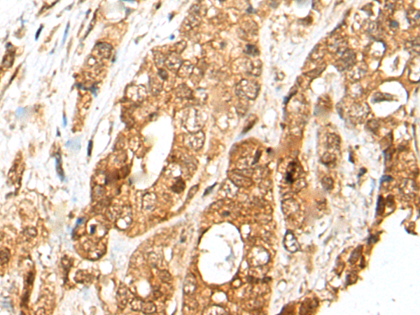
IHC positive control: |
Human gastric cancer |
|
IHC Recommend dilution: |
20-100 |
|
WB Predicted band size: |
62 kDa |
|
WB Positive control: |
293T,Hela,Raji and A172 cell lysates |
|
WB Recommended dilution: |
200-1000 |

購物車
幫助
021-54845833/15800441009
