|
Background: |
This gene encodes an integral membrane protein that belongs to the Class A rhodopsin superfamily of G protein coupled receptors. The encoded protein is expressed primarily in the central nervous system. A knockdown of the orthologous gene in rat is associated with a significant reduction in food intake and impaired decision making ability. Mutations in this gene are associated with schizophrenia, autism, and other neuropsychiatric disorders. The expression of this gene is activated by the glioma-associated oncogene homolog 1 transcription factor which, in turn, is activated by sonic hedgehog in normal and tumorigenic cells. |
|
Applications: |
ELISA, IHC |
|
Name of antibody: |
GPR153 |
|
Immunogen: |
Synthetic peptide of human GPR153 |
|
Full name: |
G protein-coupled receptor 153 |
|
Synonyms: |
PGR1 |
|
SwissProt: |
Q6NV75 |
|
ELISA Recommended dilution: |
5000-10000 |
|
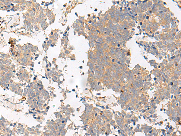
IHC positive control: |
Human lung cancer |
|
IHC Recommend dilution: |
30-150 |

購(gòu)物車(chē)
幫助
021-54845833/15800441009
