|
Background: |
This gene is encodes a cytoplasmic protein with three cytoskeletal-associated protein-glycine-conserved (CAP-GLY) domains that functions as a deubiquitinating enzyme. Mutations in this gene have been associated with cylindromatosis, multiple familial trichoepithelioma, and Brooke-Spiegler syndrome. Alternate transcriptional splice variants, encoding different isoforms, have been characterized. |
|
Applications: |
ELISA, IHC |
|
Name of antibody: |
CYLD |
|
Immunogen: |
Synthetic peptide of human CYLD |
|
Full name: |
cylindromatosis (turban tumor syndrome) |
|
Synonyms: |
EAC; MFT; SBS; TEM; BRSS; CDMT; MFT1; CYLD1; CYLDI; USPL2 |
|
SwissProt: |
Q9NQC7 |
|
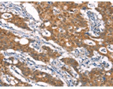
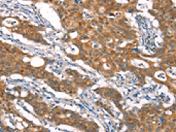
IHC positive control: |
Human gastric cancer and human brain |
|
IHC Recommend dilution: |
50-200 |
購物車
幫助
021-54845833/15800441009
