|
Background: |
This gene encodes a serine/threonine protein kinase that functions upstream of mitogen-activated protein kinase (MAPK) signaling. The encoded protein is cleaved into two chains by caspases; the N-terminal fragment (MST3/N) translocates to the nucleus and promotes programmed cells death. There is a pseudogene for this gene on chromosome X. Alternative splicing results in multiple transcript variants. |
|
Applications: |
WB, IHC |
|
Name of antibody: |
STK24 |
|
Immunogen: |
Synthesized peptide derived from internal of human STK24. |
|
Full name: |
serine/threonine kinase 24 |
|
Synonyms: |
MST3; STK3; MST3B; STE20; HEL-S-95 |
|
SwissProt: |
Q9Y6E0 |
|
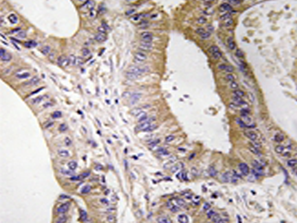
IHC positive control: |
Human colon carcinoma tissue |
|
IHC Recommend dilution: |
50-100 |
|
WB Predicted band size: |
49 kDa |
|
WB Positive control: |
COLO cells lysate |
|
WB Recommended dilution: |
500-3000 |

購物車
幫助
021-54845833/15800441009
