|
Background: |
The protein encoded by this gene belongs to family 1 of G-protein coupled receptors. It is the receptor for follicle stimulating hormone and functions in gonad development. Mutations in this gene cause ovarian dysgenesis type 1, and also ovarian hyperstimulation syndrome. Alternative splicing results in multiple transcript variants. |
|
Applications: |
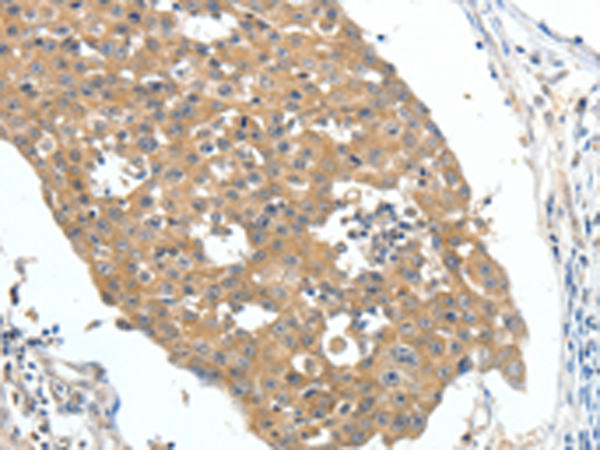
ELISA, IHC |
|
Name of antibody: |
FSHR |
|
Immunogen: |
Fusion protein of human FSHR |
|
Full name: |
follicle stimulating hormone receptor |
|
Synonyms: |
LGR1, ODG1, FSHRO |
|
SwissProt: |
P23945 |
|
ELISA Recommended dilution: |
2000-5000 |
|
IHC positive control: |
Human breast cancer and Human liver cancer |
|
IHC Recommend dilution: |
50-200 |

購物車
幫助
021-54845833/15800441009
