|
Background: |
Transcription factor required in complex with TAF3 for the differentiation of myoblasts into myocytes. The complex replaces TFIID at specific promoters at an early stage in the differentiation process By similarity. UniProtKB Q6SJ95 |
|
Applications: |
WB, IHC |
|
Name of antibody: |
TBPL2 |
|
Immunogen: |
Synthesized peptide derived from internal of human TBPL2. |
|
Full name: |
TATA box binding protein like 2 |
|
Synonyms: |
TBP2; TRF3 |
|
SwissProt: |
Q6SJ96 |
|
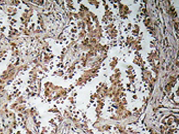
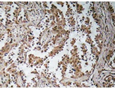
IHC positive control: |
Human lung carcinoma tissue |
|
IHC Recommend dilution: |
50-100 |
|
WB Predicted band size: |
42 kDa |
|
WB Positive control: |
Hela cells lysate |
|
WB Recommended dilution: |
500-3000 |

購物車
幫助
021-54845833/15800441009
