中文名稱:兔抗ZMYM2多克隆抗體
|
Background: |
The protein encoded by this gene is a zinc finger protein that may act as a transcription factor. The encoded protein may be part of a BHC histone deacetylase complex. Translocation of this gene with the fibroblast growth factor receptor-1 gene (FGFR1) results in a fusion gene, which may be a cause of stem cell leukemia lymphoma syndrome (SCLL). Several transcript variants encoding the same protein have been found for this gene. |
|
Applications: |
ELISA, IHC |
|
Name of antibody: |
ZMYM2 |
|
Immunogen: |
Synthetic peptide of human ZMYM2 |
|
Full name: |
zinc finger, MYM-type 2 |
|
Synonyms: |
FIM; MYM; RAMP; SCLL; ZNF198 |
|
SwissProt: |
Q9UBW7 |
|
ELISA Recommended dilution: |
5000-10000 |
|
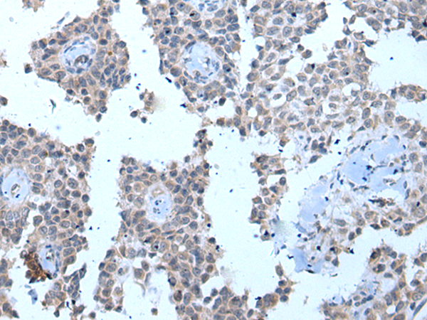
IHC positive control: |
Human ovarian cancer |
|
IHC Recommend dilution: |
20-100 |
購物車
幫助
021-54845833/15800441009
