中文名稱: 兔抗DMBT1多克隆抗體
|
Background: |
Loss of sequences from human chromosome 10q has been associated with the progression of human cancers. The gene DMBT1 was originally isolated based on its deletion in a medulloblastoma cell line. DMBT1 is expressed with transcripts of 6.0, 7.5, and 8.0 kb in fetal lung and with one transcript of 8.0 kb in adult lung, although the 7.5 kb transcript has not been characterized. The DMBT1 protein is a glycoprotein containing multiple scavenger receptor cysteine-rich (SRCR) domains separated by SRCR-interspersed domains (SID). Transcript variant 2 (8.0 kb) has been shown to bind surfactant protein D independently of carbohydrate recognition. This indicates that DMBT1 may not be a classical tumor suppressor gene, but rather play a role in the interaction of tumor cells and the immune system. |
|
Applications: |
ELISA, IHC |
|
Name of antibody: |
DMBT1 |
|
Immunogen: |
Synthetic peptide of human DMBT1 |
|
Full name: |
deleted in malignant brain tumors 1 |
|
Synonyms: |
GP340; muclin |
|
SwissProt: |
Q9UGM3 |
|
ELISA Recommended dilution: |
1000-2000 |
|
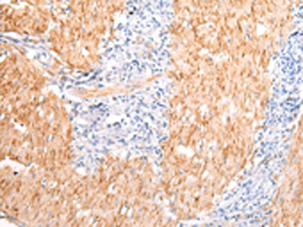
IHC positive control: |
Human gastric cancer |
|
IHC Recommend dilution: |
10-50 |

購物車
幫助
021-54845833/15800441009
