|
Background: |
This gene is a member of the DEAH-box family of RNA-dependent NTPases which are named after the conserved amino acid sequence Asp-Glu-Ala-His in motif II. The protein encoded by this gene has been shown to enhance the deadenylation and decay of mRNAs with 3'-UTR AU-rich elements (ARE-mRNA). The protein has also been shown to resolve into single strands the highly stable tetramolecular DNA configuration (G4) that can form spontaneously in guanine-rich regions of DNA. Alternative splicing results in multiple transcript variants encoding different isoforms. |
|
Applications: |
ELISA, IHC |
|
Name of antibody: |
DHX36 |
|
Immunogen: |
Fusion protein of human DHX36 |
|
Full name: |
DEAH-box helicase 36 |
|
Synonyms: |
G4R1; RHAU; DDX36; MLEL1 |
|
SwissProt: |
Q9H2U1 |
|
ELISA Recommended dilution: |
5000-10000 |
|
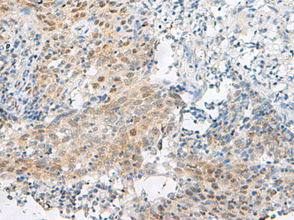
IHC positive control: |
Human esophagus cancer and Human cervical cancer |
|
IHC Recommend dilution: |
20-100 |

購(gòu)物車
幫助
021-54845833/15800441009
