|
Background: |
The protein encoded by this gene is a member of an epithelium-specific subclass of the Ets transcritpion factor family. In addition to its role in regulating the later stages of terminal differentiation of keratinocytes, it appears to regulate a number of epithelium-specific genes found in tissues containing glandular epithelium such as salivary gland and prostate. It has very low affinity to DNA due to its negative regulatory domain at the amino terminus. Several alternatively spliced transcript variants encoding different isoforms have been described for this gene. |
|
Applications: |
ELISA, IHC |
|
Name of antibody: |
ELF5 |
|
Immunogen: |
Fusion protein of human ELF5 |
|
Full name: |
E74 like ETS transcription factor 5 |
|
Synonyms: |
ESE2 |
|
SwissProt: |
Q9UKW6 |
|
ELISA Recommended dilution: |
5000-10000 |
|
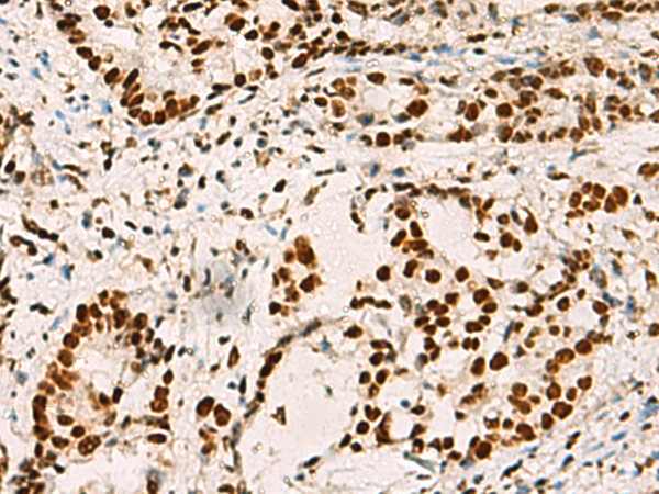
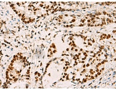
IHC positive control: |
Human colorectal cancer and Human cervical cancer |
|
IHC Recommend dilution: |
50-200 |

購物車
幫助
021-54845833/15800441009
