|
Background: |
The protein encoded by this gene is a member of the chromogranin/secretogranin family of neuroendocrine secretory proteins. It is found in secretory vesicles of neurons and endocrine cells. This gene product is a precursor to three biologically active peptides; vasostatin, pancreastatin, and parastatin. These peptides act as autocrine or paracrine negative modulators of the neuroendocrine system. Two other peptides, catestatin and chromofungin, have antimicrobial activity and antifungal activity, respectively. Two transcript variants encoding different isoforms have been found for this gene. |
|
Applications: |
ELISA, WB, IHC |
|
Name of antibody: |
CHGA |
|
Immunogen: |
Synthetic peptide of humanCHGA |
|
Full name: |
chromogranin A (parathyroid secretory protein 1) |
|
Synonyms: |
CGA |
|
SwissProt: |
P10645 |
|
ELISA Recommended dilution: |
1000-2000 |
|
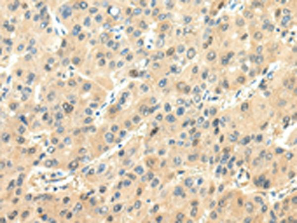
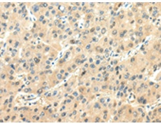
IHC positive control: |
Human thyroid cancer and Human esophagus cancer |
|
IHC Recommend dilution: |
25-100 |
|
WB Predicted band size: |
51 kDa |
|
WB Positive control: |
A549 cells |
|
WB Recommended dilution: |
200-1000 |
購(gòu)物車(chē)
幫助
021-54845833/15800441009
