中文名稱:兔抗BMPR1B多克隆抗體
|
Background: |
This gene encodes a member of the bone morphogenetic protein (BMP) receptor family of transmembrane serine/threonine kinases. The ligands of this receptor are BMPs, which are members of the TGF-beta superfamily. BMPs are involved in endochondral bone formation and embryogenesis. These proteins transduce their signals through the formation of heteromeric complexes of 2 different types of serine (threonine) kinase receptors: type I receptors of about 50-55 kD and type II receptors of about 70-80 kD. Type II receptors bind ligands in the absence of type I receptors, but they require their respective type I receptors for signaling, whereas type I receptors require their respective type II receptors for ligand binding. |
|
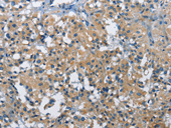
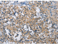
Applications: |
ELISA, IHC |
|
Name of antibody: |
BMPR1B |
|
Immunogen: |
Fusion protein of human BMPR1B |
|
Full name: |
bone morphogenetic protein receptor, type IB |
|
Synonyms: |
ALK6; ALK-6; CDw293 |
|
SwissProt: |
O00238 |
|
ELISA Recommended dilution: |
2000-5000 |
|
IHC positive control: |
Human thyroid cancer and human gastric cancer |
|
IHC Recommend dilution: |
25-100 |

購物車
幫助
021-54845833/15800441009
