中文名稱:小鼠抗MSH2單克隆抗體
|
Background: |
This locus is frequently mutated in hereditary nonpolyposis colon cancer (HNPCC). When cloned, it was discovered to be a human homolog of the E. coli mismatch repair gene mutS, consistent with the characteristic alterations in microsatellite sequences (RER+ phenotype) found in HNPCC. Two transcript variants encoding different isoforms have been found for this gene. |
|
Applications: |
WB |
|
Name of antibody: |
MSH2 |
|
Immunogen: |
Fusion protein of human MSH2 |
|
Full name: |
mutS homolog 2 |
|
Synonyms: |
FCC1; COCA1; HNPCC; LCFS2; HNPCC1 |
|
SwissProt: |
P43246 |
|
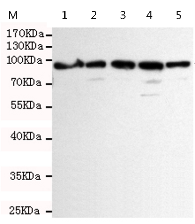
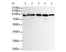
WB Predicted band size: |
105 kDa |
|
WB Positive control: |
CEM, Jurkat, 293T, K562 and A431 cell lysates |
|
WB Recommended dilution: |
1000-5000 |
購物車
幫助
021-54845833/15800441009
