|
Background: |
This gene is a member of the J protein family. J proteins function in many cellular processes by regulating the ATPase activity of 70 kDa heat shock proteins. This gene is a member of the type 2 subgroup of DnaJ proteins. The encoded protein is localized to the endoplasmic reticulum. This protein is induced by endoplasmic reticulum stress and plays a role in protecting stressed cells from apoptosis. |
|
Applications: |
ELISA, IHC |
|
Name of antibody: |
DNAJB9 |
|
Immunogen: |
Fusion protein of human DNAJB9 |
|
Full name: |
DnaJ heat shock protein family (Hsp40) member B9 |
|
Synonyms: |
MDG1; ERdj4; MDG-1; MST049; MSTP049 |
|
SwissProt: |
Q9UBS3 |
|
ELISA Recommended dilution: |
5000-10000 |
|
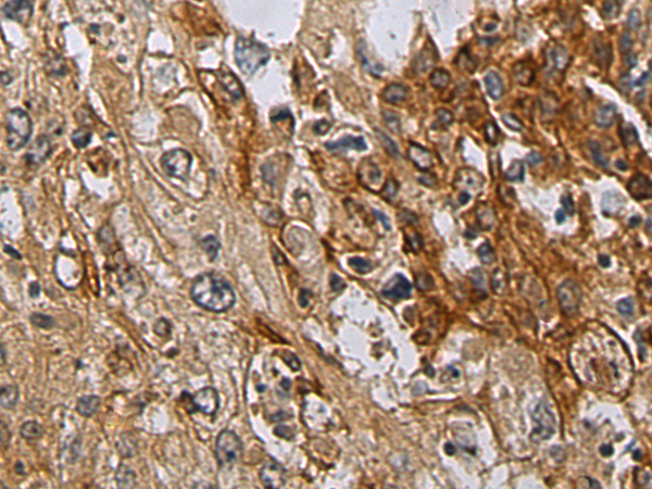
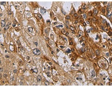
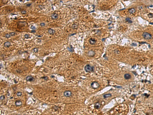
IHC positive control: |
Human liver cancer |
|
IHC Recommend dilution: |
100-300 |

購(gòu)物車
幫助
021-54845833/15800441009
