|
Background: |
This gene encodes a WD repeat-containing protein that interacts with the COP9 signalosome, a macromolecular complex that interacts with cullin-RING E3 ligases and regulates their activity by hydrolyzing cullin-Nedd8 conjugates. |
|
Applications: |
ELISA, IHC |
|
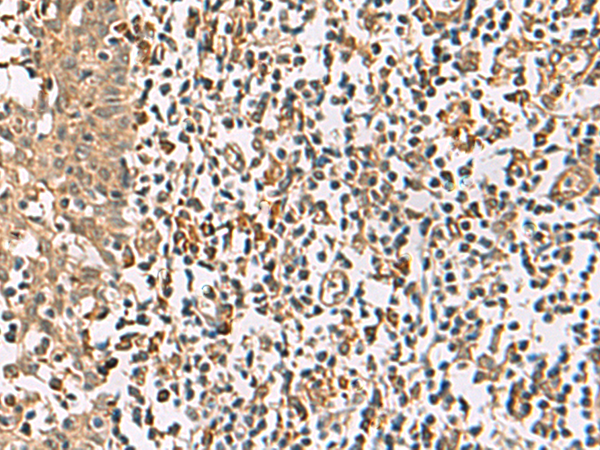
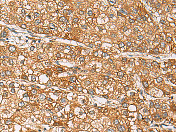
Name of antibody: |
DCAF12 |
|
Immunogen: |
Synthetic peptide of human DCAF12 |
|
Full name: |
DDB1 and CUL4 associated factor 12 |
|
Synonyms: |
CT102; TCC52; WDR40A; KIAA1892 |
|
SwissProt: |
Q5T6F0 |
|
ELISA Recommended dilution: |
5000-10000 |
|
IHC positive control: |
Human liver cancer and Human tonsil |
|
IHC Recommend dilution: |
50-200 |

購物車
幫助
021-54845833/15800441009
