|
Background: |
This gene encodes one of five subunits of eukaryotic translation initiation factor 2B (EIF2B), a GTP exchange factor for eukaryotic initiation factor 2 and an essential regulator for protein synthesis. Mutations in this gene and the genes encoding other EIF2B subunits have been associated with leukoencephalopathy with vanishing white matter. |
|
Applications: |
ELISA, IHC |
|
Name of antibody: |
EIF2B5 |
|
Immunogen: |
Synthetic peptide of human EIF2B5 |
|
Full name: |
eukaryotic translation initiation factor 2B subunit epsilon |
|
Synonyms: |
CLE; CACH; LVWM; EIF-2B; EIF2Bepsilon |
|
SwissProt: |
Q13144 |
|
ELISA Recommended dilution: |
5000-10000 |
|
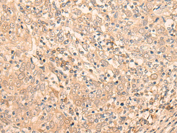
IHC positive control: |
Human cervical cancer |
|
IHC Recommend dilution: |
30-150 |
購物車
幫助
021-54845833/15800441009
