中文名稱:兔抗B4GALT3多克隆抗體
|
Background: |
This gene is one of seven beta-1,4-galactosyltransferase (beta4GalT) genes. They encode type II membrane-bound glycoproteins that appear to have exclusive specificity for the donor substrate UDP-galactose; all transfer galactose in a beta1,4 linkage to similar acceptor sugars: GlcNAc, Glc, and Xyl. Each beta4GalT has a distinct function in the biosynthesis of different glycoconjugates and saccharide structures. As type II membrane proteins, they have an N-terminal hydrophobic signal sequence that directs the protein to the Golgi apparatus and which then remains uncleaved to function as a transmembrane anchor. By sequence similarity, the beta4GalTs form four groups: beta4GalT1 and beta4GalT2, beta4GalT3 and beta4GalT4, beta4GalT5 and beta4GalT6, and beta4GalT7. This gene encodes an enzyme that may be mainly involved in the synthesis of the first N-acetyllactosamine unit of poly-N-acetyllactosamine chains. Multiple alternatively spliced transcript variants encoding the same protein have been found for this gene. |
|
Applications: |
WB, IHC |
|
Name of antibody: |
B4GALT3 |
|
Immunogen: |
Synthesized peptide derived from internal of human B4GALT3. |
|
Full name: |
UDP-Gal:betaGlcNAc beta 1,4- galactosyltransferase, polypeptide 3 |
|
Synonyms: |
beta4Gal-T3 |
|
SwissProt: |
O60512 |
|
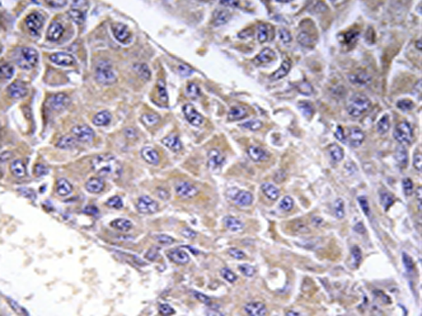
IHC positive control: |
Human liver carcinoma tissue |
|
IHC Recommend dilution: |
50-100 |
|
WB Predicted band size: |
44 kDa |
|
WB Positive control: |
HepG2 cells, Hela cells and Jurkat cells lysates |
|
WB Recommended dilution: |
500-3000 |


購物車
幫助
021-54845833/15800441009
