|
Background: |
The protein encoded by this gene is a transmembrane glycoprotein that is a member of the protein kinase superfamily. This protein is a receptor for members of the epidermal growth factor family. EGFR is a cell surface protein that binds to epidermal growth factor. Binding of the protein to a ligand induces receptor dimerization and tyrosine autophosphorylation and leads to cell proliferation. Mutations in this gene are associated with lung cancer. |
|
Applications: |
WB |
|
Name of antibody: |
EGFR(Phospho-Ser1026) |
|
Immunogen: |
Peptide sequence around phosphorylation site of serine 1026 (P-S-S(p)-P-S) derived from Human EGFR. |
|
Full name: |
epidermal growth factor receptor |
|
Synonyms: |
ERBB; HER1; mENA; ERBB1; PIG61 |
|
SwissProt: |
P00533 |
|
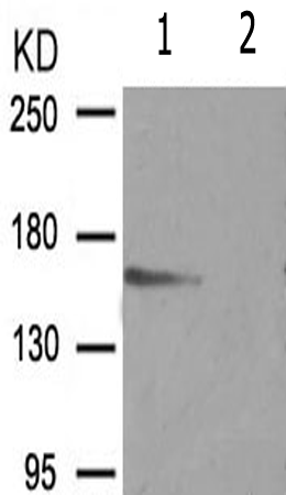
WB Predicted band size: |
134 kDa |
|
WB Positive control: |
Hela cells lysates treated with TSA |
|
WB Recommended dilution: |
500-1000 |
購(gòu)物車(chē)
幫助
021-54845833/15800441009
