|
Background: |
This gene encodes the human homolog of the proto-oncogene c-kit. C-kit was first identified as the cellular homolog of the feline sarcoma viral oncogene v-kit. This protein is a type 3 transmembrane receptor for MGF (mast cell growth factor, also known as stem cell factor). Mutations in this gene are associated with gastrointestinal stromal tumors, mast cell disease, acute myelogenous lukemia, and piebaldism. Multiple transcript variants encoding different isoforms have been found for this gene. |
|
Applications: |
ELISA, IHC |
|
Name of antibody: |
KIT |
|
Immunogen: |
Synthetic peptide of humanKIT |
|
Full name: |
v-kit Hardy-Zuckerman 4 feline sarcoma viral oncogene homolog |
|
Synonyms: |
PBT; SCFR; C-Kit; CD117 |
|
SwissProt: |
P10721 |
|
ELISA Recommended dilution: |
2000-5000 |
|
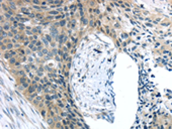
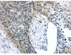
IHC positive control: |
Human esophagus cancer and Human thyroid cancer |
|
IHC Recommend dilution: |
25-100 |

購(gòu)物車
幫助
021-54845833/15800441009
