Background:
This gene belongs to a group of vacuolar protein sorting (VPS) genes. The encoded protein is a component of a large multimeric complex, termed the retromer complex, involved in retrograde transport of proteins from endosomes to the trans-Golgi network. The close structural similarity between the yeast and human proteins that make up this complex suggests a similarity in function. Expression studies in yeast and mammalian cells indicate that this protein interacts directly with VPS35, which serves as the core of the retromer complex.
Applications:
ELISA, IHC
Name of antibody:
VPS35
Immunogen:
Fusion protein of human VPS35
Full name:
VPS35 retromer complex component
Synonyms:
MEM3; PARK17
SwissProt:
Q96QK1
ELISA Recommended dilution:
2000-10000
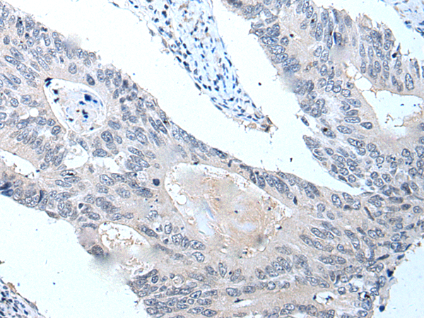
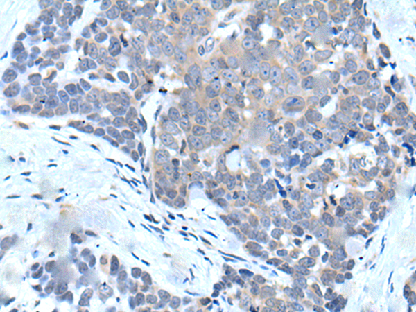
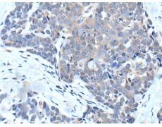
IHC positive control:
Human esophagus cancer
IHC Recommend dilution:
30-150



購物車
幫助
021-54845833/15800441009
