中文名稱: 兔抗CPLX1多克隆抗體
|
Background: |
Proteins encoded by the complexin/synaphin gene family are cytosolic proteins that function in synaptic vesicle exocytosis. These proteins bind syntaxin, part of the SNAP receptor. The protein product of this gene binds to the SNAP receptor complex and disrupts it, allowing transmitter release. |
|
Applications: |
ELISA, IHC |
|
Name of antibody: |
CPLX1 |
|
Immunogen: |
Fusion protein of human CPLX1 |
|
Full name: |
complexin 1 |
|
Synonyms: |
CPX1; CPX-I |
|
SwissProt: |
O14810 |
|
ELISA Recommended dilution: |
5000-10000 |
|
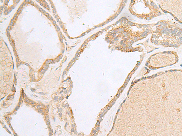
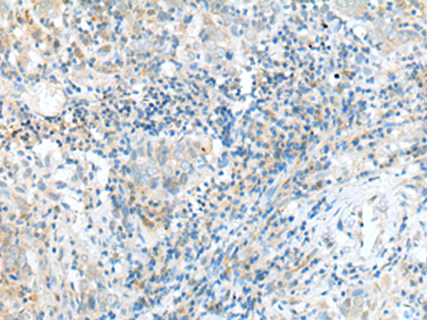
IHC positive control: |
Human cervical cancer and Human thyroid cancer |
|
IHC Recommend dilution: |
25-100 |

購物車
幫助
021-54845833/15800441009
