|
Background: |
This gene is a member of the leukocyte immunoglobulin-like receptor (LIR) family, which is found in a gene cluster at chromosomal region 19q13.4. The encoded protein belongs to the subfamily B class of LIR receptors which contain two or four extracellular immunoglobulin domains, a transmembrane domain, and two to four cytoplasmic immunoreceptor tyrosine-based inhibitory motifs (ITIMs). Several other LIR subfamily B receptors are expressed on immune cells where they bind to MHC class I molecules on antigen-presenting cells and inhibit stimulation of an immune response. Multiple transcript variants encoding different isoforms have been found for this gene. |
|
Applications: |
ELISA, WB, IHC |
|
Name of antibody: |
LILRB5 |
|
Immunogen: |
Synthetic peptide of human LILRB5 |
|
Full name: |
leukocyte immunoglobulin-like receptor, subfamily B (with TM and ITIM domains), member 5 |
|
Synonyms: |
LIR8; CD85C; LIR-8 |
|
SwissProt: |
O75023 |
|
ELISA Recommended dilution: |
5000-10000 |
|
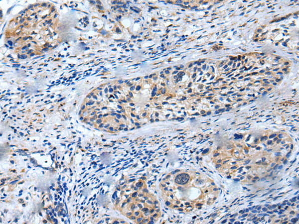
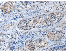
IHC positive control: |
Human cervical cancer |
|
IHC Recommend dilution: |
10-50 |
|
WB Predicted band size: |
64 kDa |
|
WB Positive control: |
HepG2 cell lysate |
|
WB Recommended dilution: |
500-2000 |


購物車
幫助
021-54845833/15800441009
