|
Background: |
This gene encodes the D2 subtype of the dopamine receptor. This G-protein coupled receptor inhibits adenylyl cyclase activity. A missense mutation in this gene causes myoclonus dystonia; other mutations have been associated with schizophrenia. Alternative splicing of this gene results in two transcript variants encoding different isoforms. A third variant has been described, but it has not been determined whether this form is normal or due to aberrant splicing. |
|
Applications: |
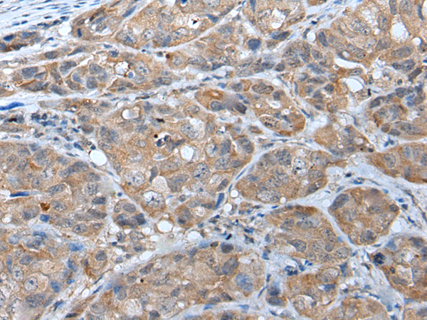
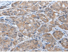
ELISA, IHC |
|
Name of antibody: |
DRD2 |
|
Immunogen: |
Synthetic peptide of human DRD2 |
|
Full name: |
dopamine receptor D2 |
|
Synonyms: |
D2R; D2DR |
|
SwissProt: |
P14416 |
|
ELISA Recommended dilution: |
5000-10000 |
|
IHC positive control: |
Human breast cancer |
|
IHC Recommend dilution: |
25-100 |
購(gòu)物車
幫助
021-54845833/15800441009
