中文名稱: 兔抗BASP1多克隆抗體
|
Background: |
This gene encodes a membrane bound protein with several transient phosphorylation sites and PEST motifs. Conservation of proteins with PEST sequences among different species supports their functional significance. PEST sequences typically occur in proteins with high turnover rates. Immunological characteristics of this protein are species specific. This protein also undergoes N-terminal myristoylation. Alternative splicing results in multiple transcript variants that encode the same protein. |
|
Applications: |
ELISA, IHC |
|
Name of antibody: |
BASP1 |
|
Immunogen: |
Synthetic peptide of human BASP1 |
|
Full name: |
brain abundant membrane attached signal protein 1 |
|
Synonyms: |
CAP23; NAP22; CAP-23; NAP-22 |
|
SwissProt: |
P80723 |
|
ELISA Recommended dilution: |
5000-10000 |
|
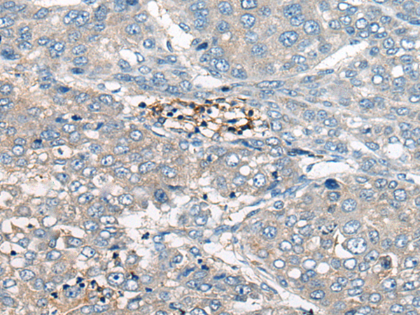
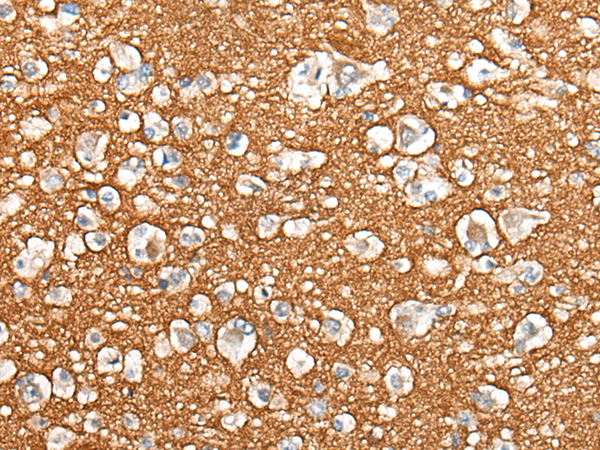
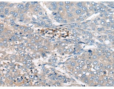
IHC positive control: |
Human brain and human liver cancer |
|
IHC Recommend dilution: |
25-100 |


購物車
幫助
021-54845833/15800441009
