|
Background: |
The product of this gene belongs to a small family of adapter proteins that are known to interact with a number of receptor tyrosine kinases and signaling molecules. This gene encodes a growth factor receptor-binding protein that interacts with insulin receptors and insulin-like growth-factor receptors. This protein likely has an inhibitory effect on receptor tyrosine kinase signaling and, in particular, on insulin receptor signaling. |
|
Applications: |
ELISA, WB, IHC |
|
Name of antibody: |
GRB14 |
|
Immunogen: |
Fusion protein of human GRB14 |
|
Full name: |
growth factor receptor-bound protein 14 |
|
SwissProt: |
Q14449 |
|
ELISA Recommended dilution: |
1000-2000 |
|
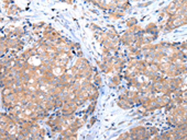
IHC positive control: |
Human breast cancer and human esophagus cancer |
|
IHC Recommend dilution: |
25-100 |
|
WB Predicted band size: |
61 kDa |
|
WB Positive control: |
Human fetal intestines tissue |
|
WB Recommended dilution: |
200-1000 |


購(gòu)物車
幫助
021-54845833/15800441009
