中文名稱(chēng): 兔抗CRISP1多克隆抗體
|
Background: |
Fertilization consists of a sequence of specific cell-cell interactions culminating in the fusion of the sperm and egg plasma membranes. Recognition, binding, and fusion occur through the interaction of complementary molecules that are localized to specific domains of the sperm and egg plasma membranes. In the sperm, the postacrosomal region or equatorial segment is involved in sperm-egg plasma membrane fusion. The protein encoded by this gene is a member of the cysteine-rich secretory protein (CRISP) family. It is expressed in the epididymis, is secreted into the epididymal lumen, and binds to the postacrosomal region of the sperm head, where it plays a role in sperm-egg fusion. Alternatively spliced transcript variants encoding different isoforms have been found for this gene. |
|
Applications: |
ELISA, IHC |
|
Name of antibody: |
CRISP1 |
|
Immunogen: |
Synthetic peptide of human CRISP1 |
|
Full name: |
cysteine rich secretory protein 1 |
|
Synonyms: |
ARP; AEGL1; HUMARP; CRISP-1; HEL-S-57; HSCRISP1D; HSCRISP1G |
|
SwissProt: |
P54107 |
|
ELISA Recommended dilution: |
5000-10000 |
|
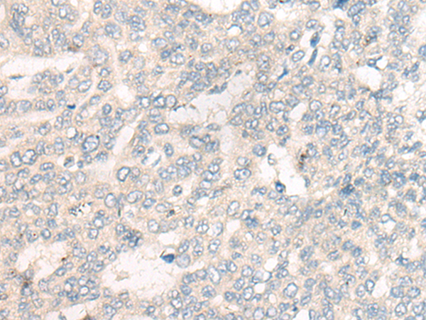
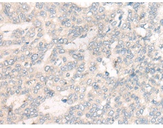
IHC positive control: |
Human brain and Human liver cancer |
|
IHC Recommend dilution: |
20-100 |

購(gòu)物車(chē)
幫助
021-54845833/15800441009
