中文名稱:兔抗BEST1多克隆抗體
|
Background: |
This gene encodes a member of the bestrophin gene family. This small gene family is characterized by proteins with a highly conserved N-terminus with four to six transmembrane domains. Bestrophins may form chloride ion channels or may regulate voltage-gated L-type calcium-ion channels. Bestrophins are generally believed to form calcium-activated chloride-ion channels in epithelial cells but they have also been shown to be highly permeable to bicarbonate ion transport in retinal tissue. Mutations in this gene are responsible for juvenile-onset vitelliform macular dystrophy (VMD2), also known as Best macular dystrophy, in addition to adult-onset vitelliform macular dystrophy (AVMD) and other retinopathies. Alternative splicing results in multiple variants encoding distinct isoforms. |
|
Applications: |
ELISA, WB, IHC |
|
Name of antibody: |
BEST1 |
|
Immunogen: |
Synthetic peptide of human BEST1 |
|
Full name: |
bestrophin 1 |
|
Synonyms: |
ARB; BMD; BEST; RP50; VMD2; TU15B |
|
SwissProt: |
O76090 |
|
ELISA Recommended dilution: |
5000-10000 |
|
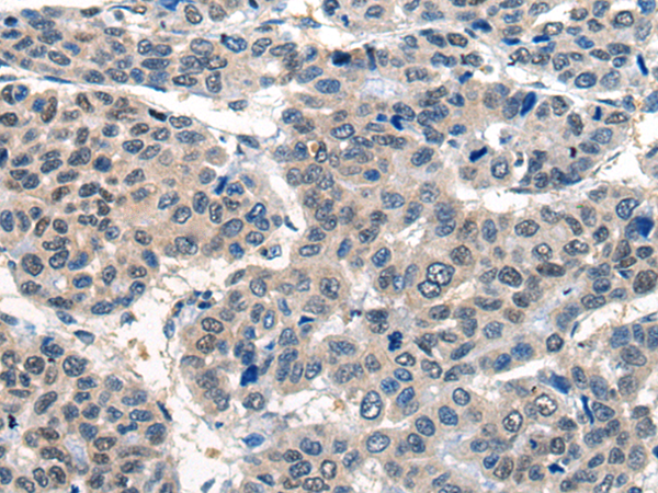
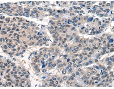
IHC positive control: |
Human liver cancer |
|
IHC Recommend dilution: |
20-100 |
|
WB Predicted band size: |
68 kDa |
|
WB Positive control: |
Mouse lung tissue lysate |
|
WB Recommended dilution: |
200-1000 |


購物車
幫助
021-54845833/15800441009
