中文名稱:兔抗CLDND1多克隆抗體
|
Background: |
Widely distributed in the adult CNS with highest expression in the corpus callosum, caudate nucleus, cerebral cortex, medulla, putamen, spinal cord, substantia nigra and subthalamic nucleus. Weak expression was detected in the adult heart. |
|
Applications: |
ELISA, WB, IHC |
|
Name of antibody: |
CLDND1 |
|
Immunogen: |
Synthetic peptide of human CLDND1 |
|
Full name: |
claudin domain containing 1 |
|
Synonyms: |
Z38; C3orf4; GENX-3745 |
|
SwissProt: |
Q9NY35 |
|
ELISA Recommended dilution: |
5000-10000 |
|
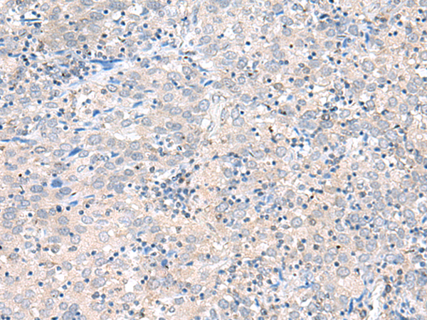
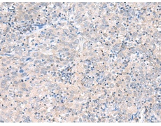
IHC positive control: |
Human cervical cancer |
|
IHC Recommend dilution: |
30-150 |
|
WB Predicted band size: |
29 kDa |
|
WB Positive control: |
TM4 cell lysate |
|
WB Recommended dilution: |
200-1000 |

購物車
幫助
021-54845833/15800441009
