|
Background: |
Studies in Drosophila have identified this gene as encoding a positive regulator of the Notch-signaling pathway. The human gene encodes a protein of unknown function; however, it may play a role in basic helix-loop-helix transcription factor activity. |
|
Applications: |
ELISA, WB, IHC |
|
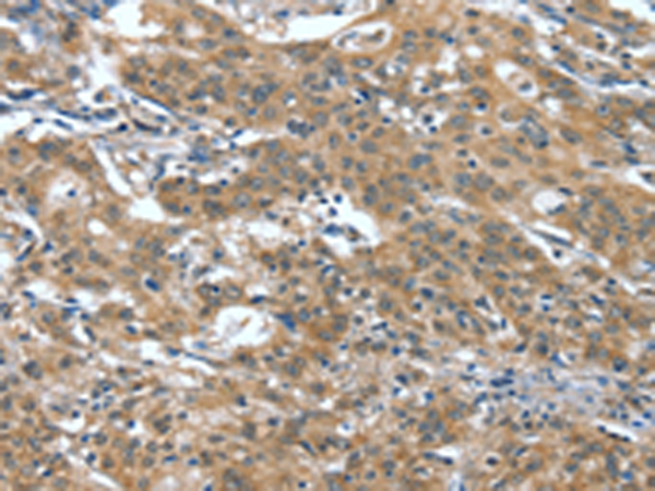
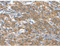
Name of antibody: |
DTX1 |
|
Immunogen: |
Synthetic peptide of human DTX1 |
|
Full name: |
deltex 1, E3 ubiquitin ligase |
|
Synonyms: |
hDx-1 |
|
SwissProt: |
Q86Y01 |
|
ELISA Recommended dilution: |
5000-10000 |
|
IHC positive control: |
Human cervical cancer and human gastric cancer |
|
IHC Recommend dilution: |
50-200 |
|
WB Predicted band size: |
67 kDa |
|
WB Positive control: |
Human fetal brain tissue and Hela cell |
|
WB Recommended dilution: |
200-1000 |


購物車
幫助
021-54845833/15800441009
