中文名稱:兔抗ARSA多克隆抗體
|
Background: |
The protein encoded by this gene hydrolyzes cerebroside sulfate to cerebroside and sulfate. Defects in this gene lead to metachromatic leucodystrophy (MLD), a progressive demyelination disease which results in a variety of neurological symptoms and ultimately death. Alternatively spliced transcript variants have been described for this gene. |
|
Applications: |
ELISA, IHC |
|
Name of antibody: |
ARSA |
|
Immunogen: |
Fusion protein of human ARSA |
|
Full name: |
arylsulfatase A |
|
Synonyms: |
MLD |
|
SwissProt: |
P15289 |
|
ELISA Recommended dilution: |
2000-5000 |
|
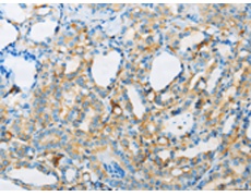
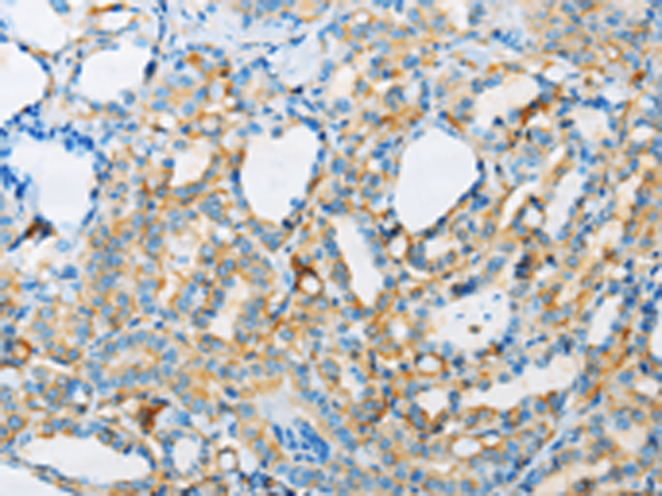
IHC positive control: |
Human thyroid cancer and Human brain |
|
IHC Recommend dilution: |
50-200 |
購物車
幫助
021-54845833/15800441009
