|
Background: |
Human SPIN2 expressed by 2 IL3-dependent murine myeloid cell lines was moderately antiapoptotic following IL3 removal, but it was unable to block apoptosis induced by the chemotherapy agent doxorubicin. On the contrary, SPIN2-expressing cells were more sensitive to doxorubicin-mediated cell death. Also, SPIN2 did not combat the proapoptotic effects of Fas ligand stimulation in the Jurkat human T-cell line. Deletion of the C-terminal amino acids of SPIN2 diminished its antiapoptotic activity. In the murine myeloid cells, SPIN2 overexpression increased the cell number doubling times and slowed their rate of growth. There was also an increased percentage of cells in G2/M, which was more pronounced following IL3 withdrawal. |
|
Applications: |
ELISA, IHC |
|
Name of antibody: |
SPIN2B |
|
Immunogen: |
Full length fusion protein |
|
Full name: |
Spindlin family, member 2B |
|
Synonyms: |
SPIN-2; dJ323P24.2; SPIN2_duplicate |
|
SwissProt: |
Q9BPZ2 |
|
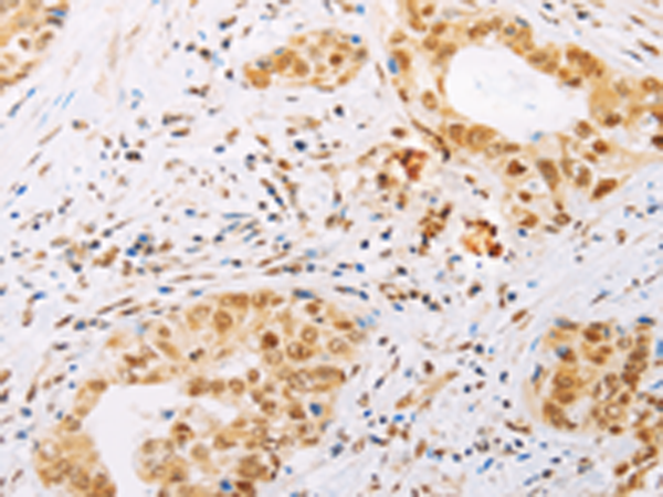
IHC positive control: |
Human cervical cancer |
|
IHC Recommend dilution: |
25-100 |
購(gòu)物車
幫助
021-54845833/15800441009
