中文名稱:兔抗ACAD8多克隆抗體
英文名稱: Anti-ACAD8 rabbit polyclonal antibody
別 名: ARC42; ACAD-8
抗 原: ACAD8
儲 存: 冷凍(-20℃)
宿 主: Rabbit
相關類別: 一抗
反應種屬: Human, Mouse, Rat
標 記 物: Unconjugate
克隆類型: rabbit polyclonal
|
Background: |
This gene encodes a member of the acyl-CoA dehydrogenase family of enzymes that catalyze the dehydrogenation of acyl-CoA derivatives in the metabolism of fatty acids or branch chained amino acids. The encoded protein is a mitochondrial enzyme that functions in catabolism of the branched-chain amino acid valine. Defects in this gene are the cause of isobutyryl-CoA dehydrogenase deficiency. |
|
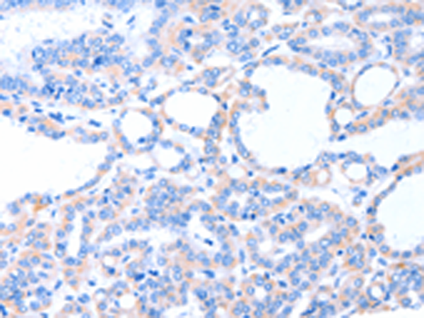
Applications: |
ELISA, IHC |
|
Name of antibody: |
ACAD8 |
|
Immunogen: |
Fusion protein of human ACAD8 |
|
Full name: |
acyl-CoA dehydrogenase family, member 8 |
|
Synonyms: |
ARC42; ACAD-8 |
|
SwissProt: |
Q9UKU7 |
|
ELISA Recommended dilution: |
1000-2000 |
|
IHC positive control: |
Human thyroid cancer |
|
IHC Recommend dilution: |
15-50 |

購物車
幫助
021-54845833/15800441009
