|
Background: |
Dendritic cells (DCs) are the most potent antigen-presenting cells. Immature DCs efficiently capture antigens and differentiate into interdigitating dendritic cells (IDCs) in lymphoid tissues that induce primary T-cell responses. |
|
Applications: |
ELISA, WB, IHC |
|
Name of antibody: |
LAMP3 |
|
Immunogen: |
Synthetic peptide of human LAMP3 |
|
Full name: |
lysosomal associated membrane protein 3 |
|
Synonyms: |
LAMP; CD208; DCLAMP; LAMP-3; TSC403; DC LAMP; DC-LAMP |
|
SwissProt: |
Q9UQV4 |
|
ELISA Recommended dilution: |
5000-10000 |
|
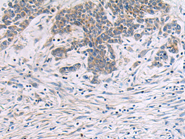
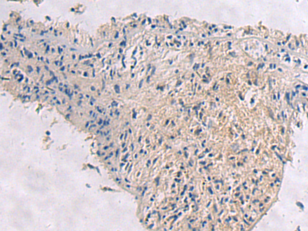
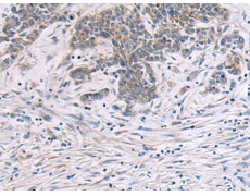
IHC positive control: |
Human brain and Human colorectal cancer |
|
IHC Recommend dilution: |
50-100 |
|
WB Predicted band size: |
44 kDa |
|
WB Positive control: |
Jurkat and Hela cell lysates |
|
WB Recommended dilution: |
500-2000 |



購物車
幫助
021-54845833/15800441009
