|
Background: |
Binds to the LIM domain of a wide variety of LIM domain-containing transcription factors. May regulate the transcriptional activity of LIM-containing proteins by determining specific partner interactions. Plays a role in the development of interneurons and motor neurons in cooperation with LHX3 and ISL1. Acts synergistically with LHX1/LIM1 in axis formation and activation of gene expression. Acts with LMO2 in the regulation of red blood cell development, maintaining erythroid precursors in an immature state (By similarity). |
|
Applications: |
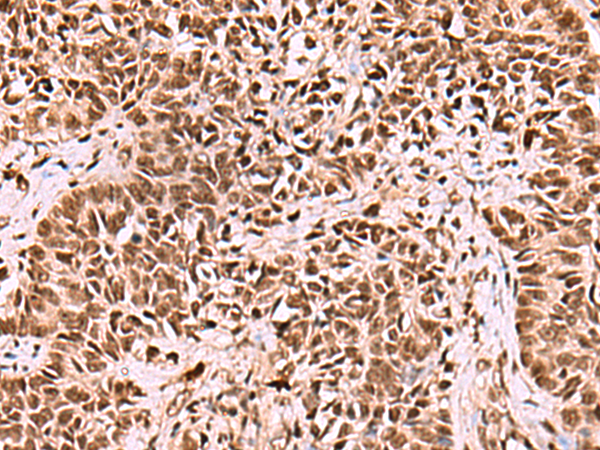
ELISA, IHC |
|
Name of antibody: |
LDB1 |
|
Immunogen: |
Fusion protein of human LDB1 |
|
Full name: |
LIM domain binding 1 |
|
Synonyms: |
NLI; CLIM2; LDB-1; CLIM-2 |
|
SwissProt: |
Q86U70 |
|
ELISA Recommended dilution: |
5000-10000 |
|
IHC positive control: |
Human ovarian cancer and Human thyroid cancer |
|
IHC Recommend dilution: |
70-350 |


購物車
幫助
021-54845833/15800441009
