|
Background: |
This gene is a member of the glycosyltransferase 31 gene family. Members of this gene family, which also includes the MFNG (GeneID: 4242) and RFNG (GeneID: 5986) genes, encode evolutionarily conserved glycosyltransferases that act in the Notch signaling pathway to define boundaries during embryonic development. While their genomic structure is distinct from other glycosyltransferases, these proteins have a fucose-specific beta-1,3-N-acetylglucosaminyltransferase activity that leads to elongation of O-linked fucose residues on Notch, which alters Notch signaling. The protein encoded by this gene is predicted to be a single-pass type II Golgi membrane protein but it may also be secreted and proteolytically processed like the related proteins in mouse and Drosophila (PMID: 9187150). Mutations in this gene have been associated with autosomal recessive spondylocostal dysostosis 3. |
|
Applications: |
ELISA, WB, IHC |
|
Name of antibody: |
LFNG |
|
Immunogen: |
Fusion protein of human LFNG |
|
Full name: |
LFNG O-fucosylpeptide 3-beta-N-acetylglucosaminyltransferase |
|
Synonyms: |
SCDO3 |
|
SwissProt: |
Q8NES3 |
|
ELISA Recommended dilution: |
5000-10000 |
|
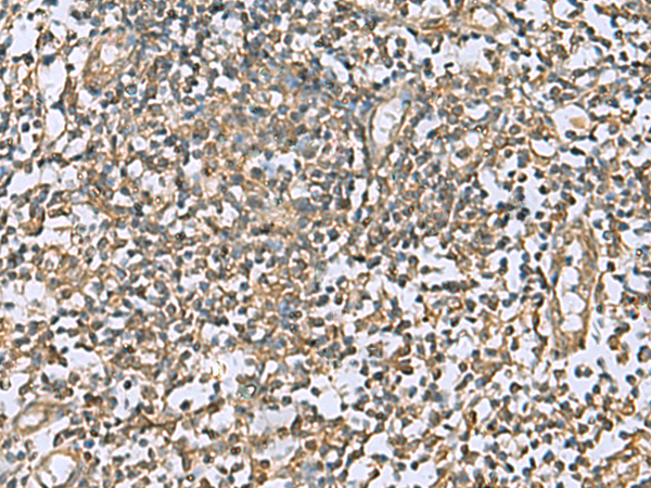
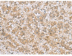
IHC positive control: |
Human tonsil and Human liver cancer |
|
IHC Recommend dilution: |
50-200 |
|
WB Predicted band size: |
42 kDa |
|
WB Positive control: |
K562 and HT-29 cell lysates |
|
WB Recommended dilution: |
500-2000 |



購物車
幫助
021-54845833/15800441009
