中文名稱: 兔抗ACTBL2多克隆抗體
|
Background: |
Actins are highly conserved proteins that are involved in various types of cell motility and are ubiquitously expressed in all eukaryotic cells By similarity. |
|
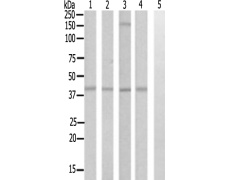
Applications: |
WB |
|
Name of antibody: |
ACTBL2 |
|
Immunogen: |
Synthesized peptide derived from internal of human ACTBL2. |
|
Full name: |
actin, beta-like 2 |
|
Synonyms: |
ACT |
|
SwissProt: |
Q562R1 |
|
WB Predicted band size: |
42 kDa |
|
WB Positive control: |
HepG2, Huvec, Jurkat and A549 cells lysates |
|
WB Recommended dilution: |
500-3000 |
購物車
幫助
021-54845833/15800441009
