中文名稱(chēng): 兔抗GAS2多克隆抗體
|
Background: |
The protein encoded by this gene is a caspase-3 substrate that plays a role in regulating microfilament and cell shape changes during apoptosis. It can also modulate cell susceptibility to p53-dependent apoptosis by inhibiting calpain activity. Multiple alternatively spliced variants, encoding the same protein, have been identified. |
|
Applications: |
ELISA, WB, IHC |
|
Name of antibody: |
GAS2 |
|
Immunogen: |
Full length fusion protein |
|
Full name: |
growth arrest-specific 2 |
|
SwissProt: |
O43903 |
|
ELISA Recommended dilution: |
5000-10000 |
|
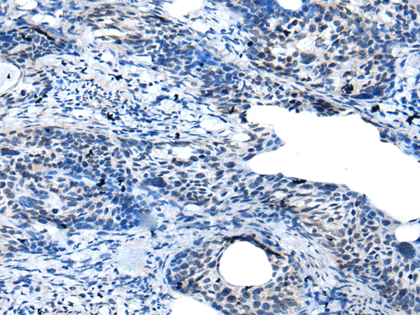
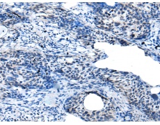
IHC positive control: |
Human thyroid cancer and human gastric cancer |
|
IHC Recommend dilution: |
25-100 |
|
WB Predicted band size: |
35 kDa |
|
WB Positive control: |
Human fetal liver tissue |
|
WB Recommended dilution: |
200-1000 |



購(gòu)物車(chē)
幫助
021-54845833/15800441009
