|
Background: |
The protein encoded by this gene belongs to the ser/thr protein kinase family. It is the catalytic subunit of the 5'-prime-AMP-activated protein kinase (AMPK). AMPK is a cellular energy sensor conserved in all eukaryotic cells. The kinase activity of AMPK is activated by the stimuli that increase the cellular AMP/ATP ratio. AMPK regulates the activities of a number of key metabolic enzymes through phosphorylation. It protects cells from stresses that cause ATP depletion by switching off ATP-consuming biosynthetic pathways. Alternatively spliced transcript variants encoding distinct isoforms have been observed. |
|
Applications: |
WB, IHC |
|
Name of antibody: |
PRKAA1 |
|
Immunogen: |
Fusion protein of human PRKAA1 |
|
Full name: |
Protein kinase, AMP-activated, alpha 1 catalytic subunit |
|
Synonyms: |
AMPK; AMPKa1 |
|
SwissProt: |
Q13131 |
|
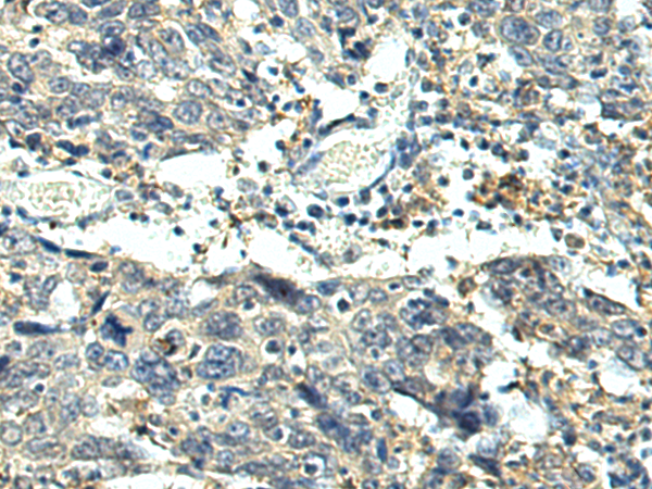
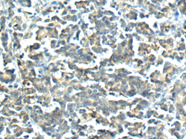
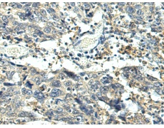
IHC positive control: |
Human esophagus cancer and Human gastric cancer |
|
IHC Recommend dilution: |
100-500 |
|
WB Predicted band size: |
64 kDa |
|
WB Positive control: |
Jurkat, 231 and NIH/3T3 cell lysates |
|
WB Recommended dilution: |
500-2000 |



購物車
幫助
021-54845833/15800441009
