|
Background: |
Ionotropic receptor with a probable role in the modulation of auditory stimuli. Agonist binding may induce an extensive change in conformation that affects all subunits and leads to opening of an ion-conducting channel across the plasma membrane. The channel is permeable to a range of divalent cations including calcium, the influx of which may activate a potassium current which hyperpolarizes the cell membrane. In the ear, this may lead to a reduction in basilar membrane motion, altering the activity of auditory nerve fibers and reducing the range of dynamic hearing. This may protect against acoustic trauma. |
|
Applications: |
ELISA, IHC |
|
Name of antibody: |
CHRNA10 |
|
Immunogen: |
Synthetic peptide of human CHRNA10 |
|
Full name: |
cholinergic receptor, nicotinic, alpha 10 (neuronal) |
|
Synonyms: |
no |
|
SwissProt: |
Q9GZZ6 |
|
ELISA Recommended dilution: |
2000-5000 |
|
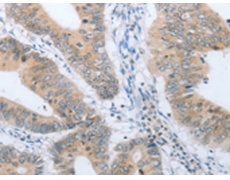
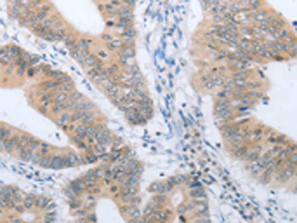
IHC positive control: |
Human colon cancer and Human lung cancer |
|
IHC Recommend dilution: |
25-100 |
購物車
幫助
021-54845833/15800441009
