中文名稱:兔抗AHNAK多克隆抗體
|
Background: |
The protein encoded by this gene is a large (700 kDa) structural scaffold protein consisting of a central domain with 128 aa repeats. The encoded protein may play a role in such diverse processes as blood-brain barrier formation, cell structure and migration, cardiac calcium channel regulation, and tumor metastasis. A much shorter variant encoding a 17 kDa isoform exists for this gene, and the shorter isoform initiates a feedback loop that regulates alternative splicing of this gene. |
|
Applications: |
ELISA, IHC |
|
Name of antibody: |
AHNAK |
|
Immunogen: |
Fusion protein of human AHNAK |
|
Full name: |
AHNAK nucleoprotein |
|
Synonyms: |
PM227; AHNAKRS |
|
SwissProt: |
Q09666 |
|
ELISA Recommended dilution: |
5000-10000 |
|
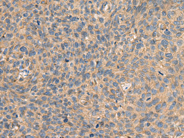
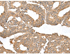
IHC positive control: |
Human cervical cancer and Human colorectal cancer |
|
IHC Recommend dilution: |
50-200 |
購物車
幫助
021-54845833/15800441009
