|
Background: |
This gene is a member of the calsyntenin family, a subset of the cadherin superfamily. The encoded transmembrane protein, also known as alcadein-alpha, is thought to bind to kinesin-1 motors to mediate the axonal anterograde transport of certain types of vesicle. Amyloid precursor protein (APP) is trafficked via these vesicles and so this protein is being investigated to see how it might contribute to the mechanisms underlying Alzheimer's disease. Alternative splicing results in multiple transcript variants. |
|
Applications: |
ELISA, IHC |
|
Name of antibody: |
CLSTN1 |
|
Immunogen: |
Synthetic peptide of human CLSTN1 |
|
Full name: |
calsyntenin 1 |
|
Synonyms: |
CST-1; CSTN1; CDHR12; PIK3CD; ALC-ALPHA; XB31alpha; alcalpha1; alcalpha2 |
|
SwissProt: |
O94985 |
|
ELISA Recommended dilution: |
5000-10000 |
|
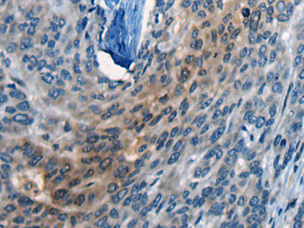
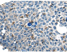
IHC positive control: |
Human liver cancer and human ovarian cancer |
|
IHC Recommend dilution: |
10-50 |

購物車
幫助
021-54845833/15800441009
