中文名稱:兔抗CNP多克隆抗體
|
Background: |
May participate in RNA metabolism in the myelinating cell, CNP is the third most abundant protein in central nervous system myelin. |
|
Applications: |
ELISA, WB, IHC |
|
Name of antibody: |
CNP |
|
Immunogen: |
Synthetic peptide of human CNP |
|
Full name: |
2',3'-cyclic nucleotide 3' phosphodiesterase |
|
Synonyms: |
CNP1 |
|
SwissProt: |
P09543 |
|
ELISA Recommended dilution: |
5000-10000 |
|
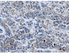
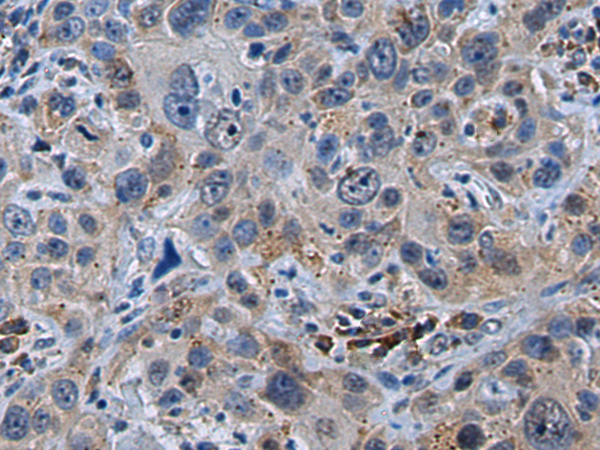
IHC positive control: |
Human esophagus cancer and Human gastric cancer |
|
IHC Recommend dilution: |
25-50 |
|
WB Predicted band size: |
47 kDa |
|
WB Positive control: |
Human cerebrum tissue, Human cerebella tissue lysates |
|
WB Recommended dilution: |
500-2000 |

購物車
幫助
021-54845833/15800441009
