中文名稱: 兔抗COX5A多克隆抗體
|
Background: |
Cytochrome c oxidase (COX) is the terminal enzyme of the mitochondrial respiratory chain. It is a multi-subunit enzyme complex that couples the transfer of electrons from cytochrome c to molecular oxygen and contributes to a proton electrochemical gradient across the inner mitochondrial membrane. The complex consists of 13 mitochondrial- and nuclear-encoded subunits. The mitochondrially-encoded subunits perform the electron transfer of proton pumping activities. |
|
Applications: |
ELISA, WB, IHC |
|
Name of antibody: |
COX5A |
|
Immunogen: |
Synthetic peptide of human COX5A |
|
Full name: |
cytochrome c oxidase subunit Va |
|
Synonyms: |
VA; COX; COX-VA |
|
SwissProt: |
P20674 |
|
ELISA Recommended dilution: |
5000-10000 |
|
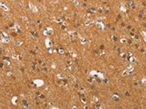
IHC positive control: |
Human thyroid cancer and human brain |
|
IHC Recommend dilution: |
50-200 |
|
WB Predicted band size: |
17 kDa |
|
WB Positive control: |
293T cell |
|
WB Recommended dilution: |
500-2000 |


購物車
幫助
021-54845833/15800441009
