|
Background: |
The protein encoded by this gene is a lysosomal cysteine proteinase involved in bone remodeling and resorption. This protein, which is a member of the peptidase C1 protein family, is predominantly expressed in osteoclasts. However, the encoded protein is also expressed in a significant fraction of human breast cancers, where it could contribute to tumor invasiveness. Mutations in this gene are the cause of pycnodysostosis, an autosomal recessive disease characterized by osteosclerosis and short stature. |
|
Applications: |
ELISA, IHC |
|
Name of antibody: |
CTSK |
|
Immunogen: |
Synthetic peptide of human CTSK |
|
Full name: |
cathepsin K |
|
Synonyms: |
CTSO; PKND; PYCD; CTS02; CTSO1; CTSO2 |
|
SwissProt: |
P43235 |
|
ELISA Recommended dilution: |
2000-5000 |
|
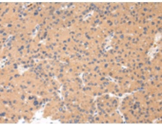
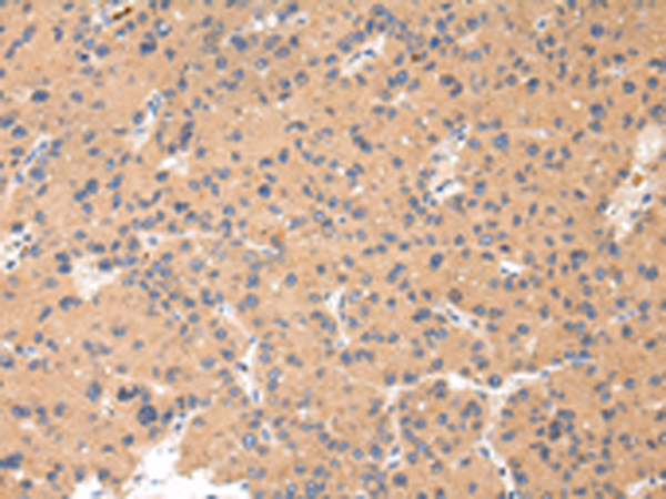
IHC positive control: |
Human liver cancer |
|
IHC Recommend dilution: |
25-100 |
購(gòu)物車
幫助
021-54845833/15800441009
