中文名稱: 兔抗CXCL1多克隆抗體
|
Background: |
This antimicrobial gene encodes a member of the CXC subfamily of chemokines. The encoded protein is a secreted growth factor that signals through the G-protein coupled receptor, CXC receptor 2. This protein plays a role in inflammation and as a chemoattractant for neutrophils. Aberrant expression of this protein is associated with the growth and progression of certain tumors. A naturally occurring processed form of this protein has increased chemotactic activity. Alternate splicing results in coding and non-coding variants of this gene. A pseudogene of this gene is found on chromosome 4. |
|
Applications: |
ELISA, IHC |
|
Name of antibody: |
CXCL1 |
|
Immunogen: |
Synthetic peptide of human CXCL1 |
|
Full name: |
chemokine (C-X-C motif) ligand 1 (melanoma growth stimulating activity, alpha) |
|
Synonyms: |
FSP; GRO1; GROa; MGSA; NAP-3; SCYB1; MGSA-a |
|
SwissProt: |
P09341 |
|
ELISA Recommended dilution: |
5000-10000 |
|
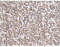
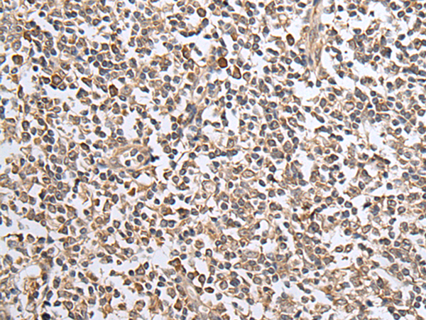
IHC positive control: |
Human tonsil |
|
IHC Recommend dilution: |
25-100 |
購物車
幫助
021-54845833/15800441009
