中文名稱: 兔抗CYP26B1多克隆抗體
|
Background: |
This gene encodes a member of the cytochrome P450 superfamily. The cytochrome P450 proteins are monooxygenases which catalyze many reactions involved in drug metabolism and synthesis of cholesterol, steroids and other lipids. The encoded protein is localized to the endoplasmic reticulum, and functions as a critical regulator of all-trans retinoic acid levels by the specific inactivation of all-trans retinoic acid to hydroxylated forms. Mutations in this gene are associated with radiohumeral fusions and other skeletal and craniofacial anomalies, and increased levels of the encoded protein are associated with atherosclerotic lesions. Alternative splicing results in multiple transcript variants. |
|
Applications: |
ELISA, IHC |
|
Name of antibody: |
CYP26B1 |
|
Immunogen: |
Fusion protein of human CYP26B1 |
|
Full name: |
cytochrome P450 family 26 subfamily B member 1 |
|
Synonyms: |
RHFCA; CYP26A2; P450RAI2; P450RAI-2 |
|
SwissProt: |
Q9NR63 |
|
ELISA Recommended dilution: |
5000-10000 |
|
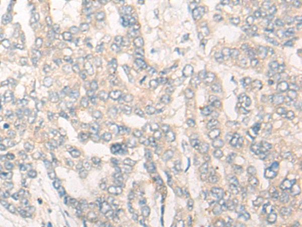
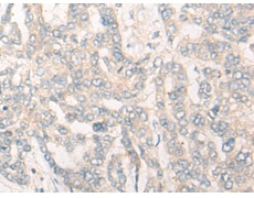
IHC positive control: |
Human brain |
|
IHC Recommend dilution: |
20-100 |
購物車
幫助
021-54845833/15800441009
