|
Background: |
This gene encodes a netrin 1 receptor. The transmembrane protein is a member of the immunoglobulin superfamily of cell adhesion molecules, and mediates axon guidance of neuronal growth cones towards sources of netrin 1 ligand. The cytoplasmic tail interacts with the tyrosine kinases Src and focal adhesion kinase (FAK, also known as PTK2) to mediate axon attraction. The protein partially localizes to lipid rafts, and induces apoptosis in the absence of ligand. The protein functions as a tumor suppressor, and is frequently mutated or downregulated in colorectal cancer and esophageal carcinoma. |
|
Applications: |
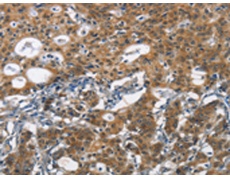
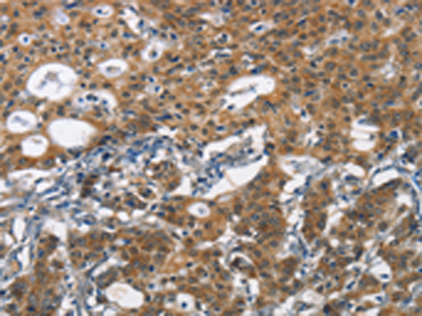
ELISA, IHC |
|
Name of antibody: |
DCC |
|
Immunogen: |
Synthetic peptide of human DCC |
|
Full name: |
deleted in colorectal carcinoma |
|
Synonyms: |
CRC18; CRCR1; MRMV1; IGDCC1 |
|
SwissProt: |
P43146 |
|
IHC positive control: |
Human gastric cancer and human liver cancer |
|
IHC Recommend dilution: |
50-200 |
購(gòu)物車
幫助
021-54845833/15800441009
