|
Background: |
The protein encoded by this gene is found only in testicular tissue and may be involved in spermatogenesis. Approximately 35 copies of this gene are present in humans, but only a single, nonfunctional orthologous gene is found in mouse. Two transcript variants encoding different isoforms have been found for this gene. |
|
Applications: |
ELISA, IHC |
|
Name of antibody: |
TSPY1/TSPY3 |
|
Immunogen: |
Synthetic peptide of humanTSPY1/TSPY3 |
|
Full name: |
testis specific protein, Y-linked 1/testis specific protein, Y-linked 3 |
|
Synonyms: |
CT78; TSPY; DYS14; pJA923/CT78 |
|
SwissProt: |
Q01534/P0CV98 |
|
ELISA Recommended dilution: |
2000-10000 |
|
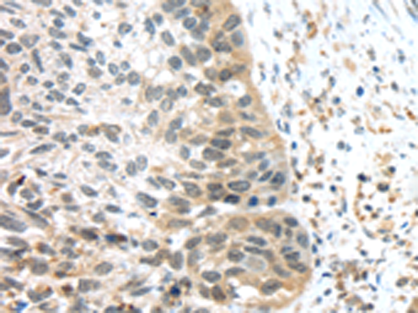
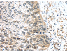
IHC positive control: |
Human esophagus cancer |
|
IHC Recommend dilution: |
30-150 |

購(gòu)物車
幫助
021-54845833/15800441009
